- news
- 2026.04.07
- 【西大島】マウスピース矯正専門サイト開設のお知らせ|質にこだわる矯正治療

-
歯並びが気になって
心から笑えない -
都心までの通院は
正直辛い -
マスクなしの
対面が増え
口元の印象に不安 -
痛みとか違和感が
心配で続けられるか
不安 -
写真撮るとき
つい口元を隠してしまう -
対人業務で
印象負けしたくない
西大島ハーヴェスト歯科・矯正歯科の矯正治療で解決!
RESOLUTION!
-
01年間307症例の
治療実績
確かな経験が
安全性を裏付けます専門的な研鑽を積み、院内基準を満たした歯科医師のみが担当。一貫した品質管理のもと、安定した治療水準を保っています。
※症例数は2023年1月〜12月の実績
-
02専門知識を備えた
歯科医師が担当培ってきた経験と技術を活かし、精度の高いマウスピース矯正を行います。
-
03三次元データを
活用した精密アプローチスキャナーやCTによる立体的な分析から、精度にこだわった治療をご提供します。
-
04矯正を中心に整える
高度審美・
機能治療セラミック治療や咬合治療を組み合わせ、審美性と機能性の両立を一院で実現します。
マウスピース
矯正
CLEAR ALIGNER
ORTHODONTICS
-
- スペシャリスト
- 矯正に特化した歯科医師が担当。専門知識と臨床経験に基づき、精度の高い治療を行います。
-
- フルケア
- 初回カウンセリングから治療完了まで、同じ歯科医師が責任を持って対応します。
-
- カスタム
- 歯並びや生活スタイルを踏まえ、それぞれに適した治療計画をご提案します。
-
- サポート
- 歯周病や虫歯治療も含め、口腔全体を見据えた包括的サポート体制を整えています。
魅せる笑顔を
手に入れる
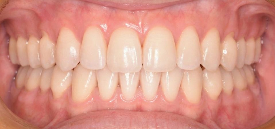
高度な診断と技術を持つ専門性のある歯科医師が担当したマウスピース矯正の一例
Before
After
マウスピース矯正(20代女性)
| 抜歯 | あり |
|---|---|
| 治療期間 | 2.5年 |
| 通院回数 | 12回 |
| 費用 | 1,023,150円 |
| リスク・副作用 | 歯根吸収、疼痛、咬合の変化、後戻りなど |
※本症例の結果は患者さま個々の状況により異なります

- できるだけ目立たず矯正したい
- 人前でも口元を気にせず過ごしたい
- いつもの生活を守りたい
- 痛みを抑えて治療したい
- ワイヤー矯正に抵抗がある
- 着脱式の矯正を希望
マウスピース矯正の
メリット
Merit
-
01自然な見た目
クリアタイプの装置で、矯正中も違和感の少ない印象に。
撮影や対面の場面でも口元を気にせず過ごせます。 -
02着脱可能な装置
自分で取り外せる装置なので、食事や歯磨きもこれまで通り。
日常を大きく変えずに取り組めます。 -
03清潔に保てる
ワイヤー装置よりも口内への刺激が少なく、快適に装着できます。
着脱して洗えるため、衛生面にも配慮されています。 -
04無理のない
治療設計ライフスタイルや予定に合わせ、継続しやすいペースで進行 します。 日常と両立しやすい計画をご提案します。
治療の流れ
Flow
-
01
矯正相談無料
-
02
精密検査
-
03
綿密な治療計画の立案・診断
-
04
虫歯や歯周病の治療
ブラッシングの練習 -
05
装置装着・調整
-
06
保定期間・定期チェック
マウスピース矯正の
料金
Price
| 相談料 | 無料 |
|---|---|
| 矯正検査・診断料 | 33,000円 |
| 基本料(調整料込み) | 98万2,500円 〜108万5,850円 |
その他、定定期的な歯周病予防のメンテナンスが必要になる方もいます。
3か月に1度程度 保険治療:3,000円程度
ワイヤー
矯正
WIRE
ORTHODONTICS
※画像はイメージです
日本矯正歯科学会
認定医の先生が担当
マウスピースでは難しい複雑な歯並びや噛み合わせの調整も、
ワイヤー矯正でしっかり整えられます。
ワイヤー矯正の
料金
Price
| 相談料 | 無料 |
|---|---|
| 矯正検査・診断料 | 33,000円 |
| 基本料(調整料込み) | 86万6,250円 〜133万9,250円 |
